SÓCIOS
Agosto 2023

CASO CLÍNICO DO MÊS

Título: Enterite fúngica: uma entidade rara

Autores: Sara Catarino1; Ana Daniela Santos1; Tiago Pavão1; Raquel Pereira1; Fernando Valério1; Carlos Casimiro1; Jorge Pereira2; 1Serviço de Cirurgia Geral – Centro Hospitalar Tondela-Viseu 2 Diretor do Serviço de Cirurgia Geral – Centro Hospitalar Tondela-Viseu

Caso Clínico:

Doente de 58 anos, género feminino, admitida no Serviço de Urgência por quadro de dor abdominal e vómitos com cerca de 12 horas de evolução, sem noção de febre ou alteração dos hábitos intestinais.

Tratava-se de doente com antecedentes de: neoplasia do recto inferior, há 7 anos, tendo sido submetida a tratamento neoadjuvante e posterior ressecção abdomino-perineal (não realizou QT adjuvante por infecção perineal com necessidade de internamento prolongado), mantendo seguimento em consulta, sem evidencia de recidiva local ou à distância; epilepsia; cirrose biliar primária em estudo; dislipidemia, obesidade e cirurgia de cifoplastia e vertebroplastia D10 e D12 há cerca de 3 semanas.

Ao exame objetivo inicial a doente apresentava-se hipotensa, taquicardia, febril (38ºC), polipneica, prostrada e com sinais de má perfusão periférica, pelo que foi alocada à Sala de Emergência. A nível da avaliação abdominal apresentava abdómen distendido e pouco depressível, globalmente doloroso, sem sinais de irritação peritoneal, com colostomia rosada com trânsito intestinal mantido sem evidência de perdas hemáticas, com hérnia paracolostómica não complicada.

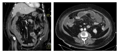
Foi realizada gasimetria arterial constatando-se hiperlactacidémia de 4.5 mmol/L. Analiticamente sem leucocitose ou neutrofilia, Hb 16.2 g/dL, INR 1.39, protrombinémia 61%, creatinina 0.8 mg/dL, amilase e lipase normais, ligeira elevação dos parâmetros hepáticos, PCT 5.43 ng/mL e PCR 8.25 mg/dL. Iniciada fluidoterapia, analgesia, colocação de sonda vesical e SNG, oxigenoterapia e colheita de urocultura e hemoculturas. Foi iniciada antibioterapia empírica endovenosa com piperacilina/tazobactam. Após estabilização hemodinâmica foi realizada TC toraco-abomino-pélvica que evidenciou ligeira distensão do cólon e intestino delgado, sem evidência de oclusão mecânica, mínima quantidade de liquido livre na cavidade pélvica, tendo sido excluído pneumoperitoneu, pneumatose intestinal ou isquemia mesentérica.

Figura 1: TC toraco-abdomino-pélvica realizada no Serviço de Urgência

Durante a permanência na Sala de Emergência a doente apresentou agravamento clínico, com choque refratário, com oligoanúria e febre de 40ºC, com iminência de paragem cardio-respiratória, pelo que se decidiu por entubação orotraqueal e ventilação mecânica invasiva e início de suporte aminérgico com noradrenalina após colocação de cateter venoso central na veia jugular direita e cateter arterial periférico na artéria radial direita.

O que fazer?

  1. Admissão em Unidade de Cuidados Intensivos 
  2. Realização de estudo complementar adicional urgente
  3. Laparotomia exploradora

Assim, por quadro de choque séptico com falência multiorgânica de etiologia indeterminada, a doente foi admitida na Unidade de Cuidados Intensivos para suporte de órgão e estudo adicional. Por agravamento inicial dos parâmetros inflamatórios analíticos com PCT 140 ng/mL e PCR 24 mg/dL, foi decidido associar vancomicina à antibioterapia com piperacilina/tazobactam já previamente instituída. Foram realizadas colheitas de coproculturas e pesquisa de Clostridium dificille que se revelaram negativas.

Ao 3º dia de internamento, por presença de hematoquézias foi realizada colonoscopia que evidenciou colite isquémica moderada de todo o cólon. Foi realizada nova TC abdomino-pélvica (Fig. 2) que demonstrou espessamento do cólon, com captação mantida de contraste da parede, sem evidencia de sofrimento de ansas nem pneumoperitoneu, mantendo mínima lâmina de líquido intraperitoneal. Dada a melhoria clínica da doente, com diminuição significativa do suporte aminérgico, diminuição dos parâmetros inflamatórios analíticos e dos lactatos, bom débito urinário, ausência de sinais de irritação peritoneal e os achados já descritos na TC, foi decidido manter abordagem conservadora.

Figura 2: TC abdomino-pélvica realizada no 3º dia de internamento

Nos dias seguintes a doente manteve perfil de melhoria clínica, com suspensão do suporte aminérgico, normalização dos lactatos e diminuição dos parâmetros inflamatórios analíticos, contudo com febre (39ºC) mantida sem cedência a antipiréticos. Foi iniciada nutrição entérica por SNG que não tolerou, tendo iniciado nutrição parentérica. Hemoculturas e urocultura revelaram-se negativas. Teste SARS-COV2 também se revelou negativo, assim como a bacteriologia de secreções bronco-alveolares.

O que fazer?

  1. Manter abordagem conservadora
  2. Repetir estudo imagiológico / endoscópico
  3. Repetir exames microbiológicos
  4. Alterar antibioterapia
  5. Associar antifúngico

Foi decidido manter abordagem conservadora e repetir estudo microbiológico, dada a febre sustentada mas com melhoria clínica progressiva da doente. Hemoculturas e urocultura revelaram-se novamente negativas.

Ao 9º dia de internamento, por elevação acentuada dos parâmetros inflamatórios e agravamento da dor abdominal com sinais de irritação peritoneal, realizou novo estudo imagiológico com TC (Fig. 3), o qual revelou perfuração de ansa de intestino delgado e moderada quantidade de líquido livre em todos os quadrantes, sugestivo de peritonite.

Figura 3: TC abdomino-pélvica realizada no 9º dia de internamento

Neste contexto, a doente foi submetida de urgência a laparotomia exploradora onde se identificou ansa de jejuno com múltiplas áreas de necrose sem aparente isquemia intestinal (processo infeccioso?), peritonite purulenta generalizada e restante delgado com alterações inflamatórias mas sem necrose transmural (Fig. 4), cólon sem qualquer alteração macroscópica. Foi colhido líquido peritoneal purulento para estudo microbiológico. Realizada resseção de jejuno necrosado (~70cm) com encerramento de topos e confeção de laparostomia. Pedido também exame bacteriológico de fragmento de ansa ressecada.

Figura 4: Alterações macroscópicas observadas na primeira intervenção cirúrgica
(setas indicam topos intestinais encerrados)

O estudo bacteriológico quer do líquido intraperitoneal quer do fragmento de ansa intestinal revelou-se positivo para Candida albicans, sensível ao fluconazol e à anfotericina B. Foi iniciado fluconazol ao 11º dia de internamento (2º dia pós-operatório). O resultado histológico identificou necrose hemorrágica, sem outras alterações patológicas.

A doente foi submetida a três revisões da laparostomia, constatando-se sempre progressão do processo infecioso, com novos segmentos dispersos de intestino delgado com necrose transmural em diferentes localizações (ileon terminal e jejuno), obrigando a sucessivas resseções intestinais (~ 20 + 20 + 15 cm). Na última revisão cirúrgica, apesar de manter áreas de delgado de aspecto inflamatório mas sem necrose transmural, e restando apenas 170cm de delgado, foi decidida a realização de anastomose jejuno-ileal e ileostomia terminal, de modo a evitar duas anastomoses entéricas, com encerramento da parede abdominal.

Apesar de todas as medidas instituídas, a doente apresentou agravamento clínico e analítico progressivo, com disfunção multiorgânica, acidose metabólica com hiperlactacidémia e necessidade de dose crescente de suporte aminérgico. Após discussão multidisciplinar, assumiu-se impossibilidade de tratamento cirúrgico adicional e optou-se por medidas de conforto, tendo-se verificado o óbito ao 17º dia de internamento (8º dia pós operatório).

Discussão:

A sépsis e choque séptico são condições ameaçadoras de vida que requerem uma abordagem e tratamento atempados para diminuir a elevada mortalidade associada1. A frequência de microrganismos associados à sépsis tem variado ao longo dos anos, com uma atual preponderância das bactéricas Gram positivas e um aumento significativo das infecções fúngicas nos últimos anos2,3. A sépsis secundária a infeções fúngicas é mais frequentemente observada em doentes imunodeprimidos ou doentes neoplásicos sob quimioterapia2,3.
Estas infecções, com predomínio das infeções por Candida spp, estão associados a pior prognóstico e elevada mortalidade2. Alguns estudos sugerem que a administração empírica de antifúngicos na sépsis pode estar associada à redução da mortalidade, contudo não conseguiram provar uma relação causal entre esta terapêutica e o outcome, nem clarificar o timing ideal para iniciar este tratamento1. De acordo com as guidelines Surviving Sepsis Campaign, recomenda-se iniciar terapêutica antifúngica empírica em doentes com factores de risco para infecção fúngica, de acordo com a epidemiologia local ou se febre mantida após 4-7 dias de antibioterapia de largo espectro1.
A enteropatia fúngica invasiva é uma entidade rara, que ocorre com maior frequência no contexto de infeção disseminada e cuja verdadeira incidência pode ser subestimada4,5. O diagnóstico de enterite fúngica, é, regra geral, tardio devido à sua apresentação inespecífica, ausência de características imagiológicas específicas e coproculturas quase sempre negativas4,5.. Trata-se de um diagnóstico que requer elevada suspeição clínica e que pela sua inespecificidade e gravidade é usualmente confirmado postmortem5.

Neste caso clínico, tal como na maioria das enterites fúngicas, o diagnóstico e tratamento foram tardios, e apesar de todas as medidas médicas e cirúrgicas efectuadas culminou no óbito da doente. De realçar que em casos de choque séptico de etiologia indeterminada, as infecções fúngicas devem ser consideradas e deve-se ponderar a introdução mais precoce de terapêutica antifúngica empírica que poderá diminuir a elevada taxa de mortalidade associada. Apesar do desfecho final deste caso, os autores consideram benéfico dar a conhecer esta entidade rara e seu desafio diagnóstico e terapêutico.

Referências bibliográficas:

  1. Surviving sepsis campaign: international guidelines for management of sepsis and septic shock 2021. Intensive Care Med. 2021 Nov;47(11):1181-1247. doi: 10.1007/s00134-021-06506-y. 
  2. Guarino, M.; Perna, B.; Cesaro, A.E.; Maritati, M.; Spampinato, M.D.; Contini, C.; De Giorgio, R. 2023 Update on Sepsis and Septic Shock in Adult Patients: Management in the Emergency Department. J. Clin. Med. 2023, 12, 3188. https://doi.org/10.3390/jcm12093188
  3. Enoch DA, Yang H, Aliyu SH, Micallef C. The Changing Epidemiology of Invasive Fungal Infections. Methods Mol Biol. 2017;1508:17-65. doi: 10.1007/978-1-4939-6515-1_2. PMID: 27837497.
  4. Wang ZK, Yang YS, Stefka AT, Sun G, Peng LH. Review article: fungal microbiota and digestive diseases. Aliment Pharmacol Ther. 2014 Apr;39(8):751-66. doi: 10.1111/apt.12665. Epub 2014 Feb 24. PMID: 24612332.
  5. Direkze S, Mansour M, Rodriguez-Justo M, Kibbler C, Gant V, Peggs KS. Candida kefyr fungal enteritis following autologous BMT. Bone Marrow Transplant. 2012 Mar;47(3):465-6. doi: 10.1038/bmt.2011.112. Epub 2011 May 30. PMID: 21625228.